Emergency Dentistry

Accidents happen, and getting fast, reliable treatment can be the difference between losing and saving a tooth. Dental emergency conditions can include anything from a broken tooth to dental abscesses, which can be extremely painful and dangerous if left untreated.

At Cleansmile, we are able to assist patients with emergency dental treatments for the following painful conditions. Patients in emergency situations can expect quick, effective treatment with one of our experienced dentists.

You may feel toothache in many ways. It can come and go or be constant. Eating or drinking can make the pain worse, particularly if the food or drink is hot or cold. The pain can also be mild or severe. It may feel "sharp" and start suddenly. It can be worse at night, particularly when you're lying down. A lost filling or broken tooth can sometimes start the pain.

If you have toothache for more than one or two days, visit your dentist as soon as possible to have it treated. The longer you leave it, the worse it will get. If your toothache isn't treated, the pulp inside your tooth will eventually become infected. This can usually lead to a dental abscess, with severe and continuous throbbing pain so it is important to book a consultation to treat the cause of the pain as soon as possible.

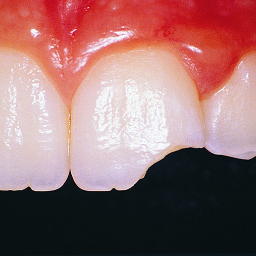
Most adults have craze lines and they cause little concern. They are tiny cracks that only affect the outer enamel of the tooth, are painless and may affect the cosmetic appearance of the tooth. These lines allow light to pass through them to light up the whole crown of the tooth. If there is a crack, light will not pass through.

When a cusp becomes weakened, a fracture may result. A fractured cusp rarely damages the pulp. This tooth will need to be restored with a full crown.A vertical root fracture begins at the root and extends towards the chewing surface of the tooth. Treatment may involve root surgery if a portion of the tooth can be saved extracted.

A dental abscess is a collection of pus that can form inside the teeth, in the gums, or in the bone that holds the teeth in place. It’s caused by a bacterial infection. It's important to get help as soon as possible, because abscesses don't go away on their own. They can sometimes spread to other parts of the body and make you ill.

We will try to get patients with Dental Abscesses the earliest appointment possible. Until you are able to see the dentist, painkillers can help control your pain. Ibuprofen is the preferred painkiller for dental abscesses, but if you're unable to take it for medical reasons, you can take paracetamol instead.

One of the most serious complications with full dentures is prosthesis fracture – a broken denture. It is more common with the top denture but does occur with the bottom denture as well.

Depending on the type of break and the reason for the break can impact whether or not the denture can be repaired. Sometimes we may be able to repair your denture in the same office visit. In other cases, we may need to send it back to the dental lab. If this is the case, your dentist will discuss options with you while your dentures are at the lab, and how long it may take.

If your dentures have not been fitting properly, your dentist may recommend a reline of the denture, or if they are old and worn, may recommend creating a new and better fitting denture.

Even though implant design has improved greatly over the years and the incidence of screw loosening has decreased greatly, the simple fact is that screws still come loose occasionally. Not to mention, there are still a lot of older implants out there that are more prone to screw loosening.

It is important to have your dental implant checked by a dentist if you feel that it is loose. Cleansmile dentists have broad experience with dental implants and are able to assist in repairing loose and damaged implants quickly and effectively, ensuring you’re left with a reliable implant and peace of mind.

Emergency Dentistry Germiston | Cleansmile
Broken Tooth Germiston | Cleansmile
Loose Implants Germiston | Cleansmile